Mancha nos dentes são muito mais comuns do que se imagina.
Muitas delas são de tamanho pequeno e de fácil ajuste.
Outras, porém, são mais complicadas e precisam ter um diagnóstico para um tratamento diferenciado.
Dessa forma, temos alterações de cor chamadas de extrínsecas (na parte de fora do dente), que são ocasionadas do uso em excesso de chá, café, cigarro, bebidas com corantes artificiais ou até acúmulo de placa. O tratamento dessas alterações é mais simples de ser realizado.
Temos também as chamadas manchas intrínsecas (na parte de dentro dos dentes) ocasionadas pelo uso de antibiótico tetraciclina e fluorose dental (uso e ingestão de flúor na infância, de forma inapropriada, que acaba manchando os dentes permanentes) ou até dentes que receberam um trauma.
Em nosso consultório realizamos diferentes tipos de tratamentos estéticos para melhorar e acabar com essas manchas nos dentes, como profilaxia e jateamento com bicarbonato de sódio, clareamento dental, restaurações diretas, coroas e facetas.
Assim, é importante que o paciente saiba quais tipos de manchas nos dentes ele possui e seu correto tratamento.
Continue lendo para saber :
- Sobre os 5 tipos causas de alteração de cor.
- Os principais tratamentos para manchas nos dentes.
- O que poderia ser uma mancha preta no dente.
Caso queira falar conosco para marcar uma consulta, você pode:
1 - Mancha nos dentes causadas por alimentos e hábitos tabagistas
São causadas por uso contínuo e em excesso, sem que haja a devida higienização após seu consumo.
Ocorre alteração de cor dos dentes com o passar do tempo devido ao acúmulo de pigmentos presentes em alimentos, como:
- Café;
- Chás;
- Refrigerantes;
- Entre outros.
Geralmente ocorrem de igual maneira em todos os dentes.
Além dos alimentos, o cigarro também contribui para esta mudança e é o que mais produz alteração de cor devido à nicotina presente.
Vale lembrar que muitas pessoas possuem o hábito de fumar e tomar um cafezinho simultaneamente e na maioria das vezes não escovam os dentes após este evento.
Assim, além de prejudicar a coloração dos dentes, acabam desenvolvendo outros problemas como acúmulo de placa bacteriana, tártaro, gengivite e lesões cariosas nos dentes.
O tratamento básico pra essas manchas é um polimento dos dentes, juntamente com o clareamento dental.
Posteriormente o maior ou menor uso do café ou cigarro, vai determinar a volta da cor mais rapidamente. Leia mais sobre Clareamento Dental (clique)
2 - Necrose pulpar (Traumatismo)
Após a ocorrência de um trauma no dente, pode-se ter um escurecimento deste.
Isso ocorre devido ao extravasamento de sangue para os túmulos dentinários. Geralmente a alteração de cor ocorre em um ou dois dentes que foram acometidos pelo trauma.
Além de um contínuo acompanhamento radiográfico do dente injuriado, o tratamento para melhorar sua cor pode ser feito utilizando-se desde um clareamento interno a até o preparo deste dente para receber uma coroa de porcelana. Leia mais sobre Coroa de Porcelana ( Link )
3 - Manchas por Amálgama
A restauração por amálgama é aquela famosa restauração escura muito utilizada em tempos onde não se podia utilizar resina, principalmente em dentes posteriores, por não terem confiabilidade.
Porém, com o passar do tempo, estas restaurações acabavam pigmentando o dente, deixando-o mais escuro e com mancha nos dentes, mesmo quando esta restauração era removida e substituída por outra mais clara.
Assim, o tratamento para esta pigmentação é a remoção destas restaurações escuras e a troca das mesmas por restaurações em resina ou porcelana.
Em casos de restaurações extensas, pode ser necessária a confecção de coroas.
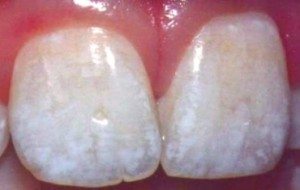
4 - Mancha nos dentes por Fluorose Dental

O que é:
A fluorose dentária é uma alteração de cor comum do esmalte dental derivada da exposição excessiva ao flúor na fase de formação dos dentes.
São afetados grupos de dentes quer na dentição decídua ( de criança ), quer na dentição permanente.
É caracterizada por ter o esmalte excessivamente opaco e com manchas que podem variar de branco ao marrom escuro.
Causa:
A principal causa da fluorose esta relacionada a ingestão em excesso de flúor nos primeiros anos de vida da pessoa.
Nessa época ocorre a formação e maturação do esmalte ( a parte mais externa ) dos dentes.
Assim, quanto maior a quantidade ingerida de flúor, maior o defeito no esmalte, pois o flúor em excesso irá atuar negativamente durante o processo de formação do esmalte.
Além disso, quando se ingere uma quantidade maior de flúor no primeiro ano de vida, as manchas vão ser maiores nos dentes anteriores, já se for por volta dos três anos, os dentes posteriores vão ser mais afetados.
Tratamento:
Quando o caso for mais simples com manchas menores provavelmente um clareamento já é o suficiente.
Em casos mais complexos teremos que fazer um desgaste nos dentes para posteriormente fazer uma restauração.
Vale ressaltar que o flúor é muito importante e que seu uso não deve ser descartado apenas supervisionado quando utilizado para crianças.
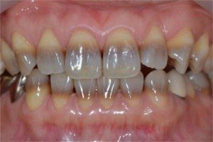
5 - Mancha nos dentes por Tetraciclina

O que é:
Alteração comum dos dentes por uso em excesso de um antibiótico chamado tetraciclina. São manchas que podem ser de cor amarela ou marrom acinzentada, normalmente atingindo um grupo de dentes.
Causas:
A causa está relacionada ao uso de tetraciclina durante o período de calcificação dos dentes.
Isso significa que os dentes decíduos podem ser afetados do sexto mês (no útero) até o décimo ou oitavo ano de vida e os dentes permanentes do sétimo mês de vida até o sétimo ou oitavo ano de infância
Tratamento:
Casos mais simples, apenas um clareamento dental é o suficiente. Para casos mais complexos está indicado o uso de facetas.
Saiba Mais sobre Facetas de Porcelana (Clique)Vídeo sobre Mancha no Dente
E seu eu possuir uma mancha preta nos dentes, devo me preocupar?
Como visto no texto acima temos diversos tipos de mancha nos dentes, algumas escuras, outras mais claras.
Porém, conversando com os nosso pacientes e também analisando as perguntas enviadas pelo site, podemos ver que muitos tem dúvida sobre mancha preta no dente.
A maior parte das pessoas pensa que mancha preta significa que ela possui cárie.
Porém nem sempre isso é verdade.
Nesse ponto, vamos parar e pensar .
Quando olhamos nossos dentes, principalmente os posteriores, vemos que eles não são lisos mas apresentam irregularidades, os chamados sulcos dentários.
Com a nossa alimentação do dia a dia ( café , bebidas com corantes , doces , refrigerantes, a lista é grande ! ), os sulcos podem se pigmentar, ou seja, ficam mais escuros ou até pretos.
Porém, como eu vou saber se eu tenho cárie ou se é somente um sulco pigmentado ?
Nesse caso, é importante a avaliação do dentista. Ele vai poder te orientar qual o correto tratamento para o seu caso.
Uma outra região que pode apresentar manhas pretas ou escuras é próximo a gengiva. Quando não realizamos a correta higienização, podemos ter o chamado cálculo ( tártaro ).
Nesse caso ele não apresenta somente a coloração escura, mas também pode ser mais clara ou até amarela.
Portanto em ambos o casos a higienização é extremamente importante para que você não apresente manchas escuras nos dentes.
Um ponto importante a ser lembrado: Apesar de nem todas as manchas pretas serem cárie, muitas vezes elas são e devem ser tratadas o quanto antes para não ter um maior prejuízo ao dente.
Conclusão
Cada tipo de mancha nos dentes tem um fator e uma causa associada, assim como, um tratamento diferente.
Por isso, é super importante o correto diagnóstico da alteração de cor nos dentes para ter o correto tratamento.
Em nossa clínica realizamos os diversos procedimentos listados acima para melhorar a estética do seu sorriso.
Estamos presentes na cidade do Rio de janeiros, nos Bairros da Barra da Tijuca e Botafogo.
Ligue para nós para saber mais.
Abraços,
Davi Frossard

